
食管异物是常见的急症之一,指因饮食不慎,误咽异物,可发生于任何年龄,异物种类多样,以鱼刺、骨片、脱落的假牙最为常见,可能出现吞咽困难、吞咽疼痛与呼吸道症状等临床表现。食管异物常见并发症包括食管瘘、纵膈脓肿、穿破大血管等甚至危及生命,一经确诊需立即处理。
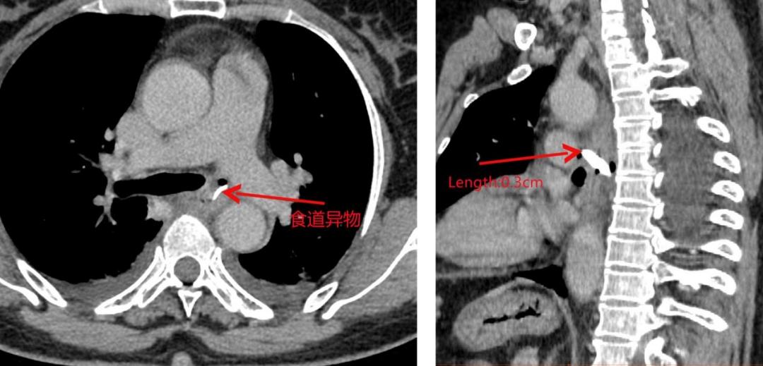
近日,一名59岁女性患者因进食鸡骨后导致吞咽困难到宣汉县人民医院就诊,检查发现食管异物已穿出食管前后壁,异物前端距左肺动脉3mm。

因患者病情危重,手术难度大,宣汉县人民医院胸心外科专业、消化内镜中心、手术麻醉科团队等多学科进行联合会诊后认为,单纯胸腔镜取出异物或单纯胃镜取出异物风险较大,有造成二次损伤和左肺动脉及降主动脉损伤的可能,决定采取胸腔镜联合电子胃镜取出异物的手术方案。在多学科通力协作下,医务人员通过胸腔镜下分离和保护好左肺动脉及降主动脉在胃镜下成功为该名患者取出食管异物。

医生警示:
如误咽异物后应立即就医,切忌自行吞咽饭团、馒头、韭菜、榨菜等食物,以免加重损伤,增加手术难度,错误的处理方式,会造成严重的并发症。

温馨提示:
进食时要细嚼慢咽,不宜匆忙,尤其是吃带有骨、刺类食物时。